Ja – das gibt es. Und es hilft. Fissuren sind die Zahnfurchen auf den Kauflächen. die wegen der engen und tiefen Spalten nicht gereinigt werden können. Keine Zahnbürste schafft das. Bei der Fissurenversiegelung werden nun diese Spalten mit fließfähigem Material gefüllt. Ohne Bohren, wohlgemerkt. Tolle Sache.
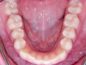
![]() Katharina (16) ohne Fissurenversiegelung |
Friederike (16)mit Fissurenversiegelung |
Was leider immer noch nicht überall bekannt ist:
Die gesetzlichen Krankenkassen bezahlen für 6-17Jährige diese Fissurenversiegelung an den bleibenden großen Backenzähnen. Daran sieht man, wie wichtig und erfolgssicher diese Methode sein muss – sonst würden sich die Kassen nicht so engagieren. Nie wieder riesengroße Amalgamfüllungen auf den Kauflächen!
Wir alle sind schnell bei der Hand, „die da oben“ zu kritisieren und alles besser zu wissen. Hier jedoch wird eine ideale kariesverhindernde Maßnahme für Kinder und Jugendliche kostenlos angeboten! Danke an „die da oben“ – im Namen vieler gesundbleibender Zähne!
Noch vor wenigen Jahrzehnten war es eine Sensation, wenn sich jemand zum „Club der Kariesfreien“ zählen durfte. Heute ist das die Regel – auch dank Fissurenversiegelung.

