Herr Doktor, woher kommen meine Löcher?
Nun, da braucht es keine Forschungen mehr. Man weiß es:
Karies, also ein Loch im Zahn, entsteht nicht über Nacht. Nur wenn Bakterien (= Zahnbelag; erste Voraussetzung) an der gleichen Zahnstelle über lange Zeit (zweite Voraussetzung) liegen bleiben und häufig Zucker hinzukommt (dritte und wichtigste Voraussetzung), nehmen die Bakterien den Zucker auf, scheiden daraufhin Säure aus, und diese Säure löst den Zahn auf, macht ein Loch.
Vereinfacht kann man sagen: Löcher im Zahn, also Karies, sind Zuckerlöcher!
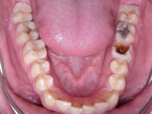
Auf dem Bild ist die Entstehung von Karies = Zahnloch in zunehmenden Stufen zu sehen:
Von rechts nach links: Karies beginnt mit einem weissen Fleck (entkalkter Schmelz), der einbricht und weiches braunes Dentin offenlegt. Jetzt ist eine Reparatur = Füllung fällig. Der große Backenzahn hat bereits eine Amalgamfüllung. Übrigens: Dieser Patient hat vorne (rechts im Bild) seine Zähne besser gereinigt als weiter hinten. Deshalb entstand der größte Zahnschaden am hinteren Backenzahn (links im Bild). Und noch eine Erkenntnis: Weil der Zahnbelag in der Rinne zwischen Zahn und Zahnfleisch nicht so gut entfernt wurde wie auf den Glattflächen der Zähne, gibt es folgerichtig genau in dieser Rinne die Defekte. Da wo die Zähne gut von der Zahnbürste gereinigt wurden, strahlen sie, dass man fast eine Sonnenbrille braucht! 😉
Drei Voraussetzungen sind also zur Kariesentstehung nötig: Bakterien = Zahnbelag, und das über eine lange Zeitdauer, sowie häufige Zuckerzufuhr als wichtigste Ursache.
Die kariösen Löcher entstehen oft erst nach langer Zeit (viele Monate, zum Teil viele Jahre), deshalb kommt man nicht gleich drauf. Aber seit 100 Jahren wissen wir das ganz genau:
Ohne Bakterien (Zahnbelag) keine Löcher, ohne Zucker keine Löcher
Und noch ganz wichtig zu wissen:
Niemand wird mit Karies geboren, Karies ist nicht vererbbar
Karies ist kein Schicksal, Karies ist vermeidbar
Eigentlich einfach.
Die Löcher im Zahn sind also nicht plötzlich da, sondern entstehen ziemlich gemächlich. Das macht eine frühzeitige Erkennung so wichtig: Dann sind die Defekte noch klein, und es gibt noch viele einfache und dennoch wirksame Gegenmaßnahmen. Lohnt sich also!
Die Krankenkassen bezahlen halbjährlich eine Zahnuntersuchung und -Beratung! Wohlgemerkt Untersuchung und Beratung; eine Pflicht, sich behandeln zu lassen, gibt es dagegen nicht.
Leider wird dieses kostenlose Angebot, diese Empfehlung, nicht von allen wahrgenommen. Eigentlich unverständlich. Viele Schmerzen und hohe Kosten könnten vermieden werden, so gut wie alle Zähne könnten erhalten werden.
Hier der Link zum Bundesgesundheitsministerium mit der Liste aller offiziell empfohlenen Vorsorgeuntersuchungen:
Tabelle der empfohlenen Vorsorgeuntersuchungen
http://www.bmg.bund.de/fileadmin/dateien/Downloads/G/GKV/Tabelle_Frueherkennung_Krebs__GKV_Leistungen_110331.pdf
Dort: Rubrik Zahnvorsorge-Untersuchungen
Weil die Entstehungsursache von Karies (Löcher im Zahn) so interessant und wichtig ist, möchte ich es nochmals so formulieren:
Karies wird durch Zucker auf Zahnoberflächen verursacht, der Bakterien (die sind im Zahnbelag) als Ernährung dient. Letztlich scheiden die Bakterien dann Säuren aus. Diese Säuren greifen den Zahn an und können im weiteren Verlauf zu den gefürchteten Löchern führen. Das passiert nur, wenn nicht durch seltenes Zuckeressen, saubere Zähne (also keine Bakterien) sowie durch Fluoridierung (quasi zur Zahnhärtung) vorgebeugt wird.
Klingt hochwissenschaftlich – ist es auch.
Darf ich Ihnen das Ganze übersetzen?
Ihr Zahnbelag besteht aus Bakterien. Umso mehr, je weniger Sie Ihre Zähne reinigen.
Das glauben Sie mir sicher, nachdem Sie weiter vorn das Video mit Zahnbelag unterm Mikroskop gesehen haben.
Diese wuseligen Zahnbelagsbakterien sind immer auf der Suche nach Nahrung, am liebsten Zucker. Der Zucker löst sich im Mund auf, verteilt sich auch im Zahnbelag. Und dort stürzen sich die Bakterien drauf und fressen ihn: Ja wirklich! Dann geschieht das Ungeheure:
Als Endprodukt der Zuckerverdauung durch die Bakterien scheiden diese pure Säure aus. Und erst diese Säure frisst Ihnen die berühmt-berüchtigten Löcher in die Zähne, was wir dann Karies nennen.
Die Säurebildung geht ruck-zuck; die kariösen Löcher entstehen jedoch erst nach langer Zeit, wenn immer wieder neue Säure durch neuen Zucker entsteht. Und „plötzlich“ sind die Löcher sichtbar und vor allem schmerzhaft spürbar, weil die Zahnzerstörung bis zum Nerv geht.
Das ist wie mit dem Rost beim Auto: Plötzlich, ja urplötzlich meint der Mann beim TÜV, in allen Hohlstellen säße der Rost. Unglaublich – wo man doch 10 Jahre und länger nichts davon bemerkt hat. Denkste. Entstand schleichend all die Jahre schon. Und irgendwann bricht eine Stelle ein und das ganze Dilemma wird sichtbar. Wie beim Zahn:
„Hohler Zahn“: Karieslöcher beginnen außen am Zahn ganz klein, vergrößern sich im Innern des Zahnes und bleiben ziemlich lange unbemerkt, bis die Zahnwand einbricht. Oder bis ein Röntgenbild angefertigt wird und den hohlen Zahn offenbart. Oder, am häufigsten, bis der Zahn aufgrund des Lochs schmerzt.

