Ein Zahnarzt untersucht jeden Tag dutzende Münder. Da kommt einiges im Laufe des Berufslebens zusammen. Was immer wieder auffällt:
Am wenigsten werden 2 Stellen im Mund gereinigt:
Die hinteren Backenzähne und – Überraschung – die rechten Eckzähne außen.
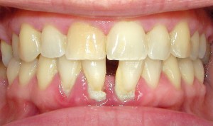
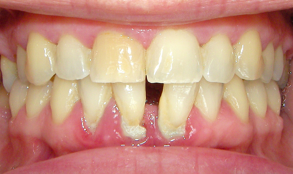
Daneben sind die unteren Schneidezähne sowie überall die Schmutznischen problematisch: Da braucht es schon etwas Geschick, diese Stellen sauber zu halten.
![]() |
![]() |
Das kommt so:
Hinten kommt man schlecht ran, und es gibt zudem ganz leicht einen Würgereiz, wenn die Zahnbürste unbewusst an den empfindlichen Rachen stößt: Und schon ists passiert: Man würgt.
Abhilfen:
– Machen Sie Ihren Mund etwas zu, wenn die Zahnbürste drin ist: Dann können Sie die Wange mit der Bürste abhalten und Sie erreichen die hinteren Stellen genauer.
– Eine elektrische Zahnbürste, die zur Reinigung der Zähne keine Hin- und Herbewegungen erfordert, kann helfen, die letzten Zähne auch auf deren Rückseite zu säubern.
– Haben Sie morgens oder abends die größten Probleme mit Würgereiz? Die meisten Menschen reinigen die rachennahen Teile der Zahnreihen am liebsten abends und sagen, dass sie dann weniger empfindlich reagieren.
Gerade nach Weisheitszahnentfernung entsteht am letzten Zahn oft eine kariesanfällige Schmutznische. Hier bleiben Speisereste am ehesten liegen. Muss nicht zu einem Kariesloch führen. Nein. Sauberhalten hilft.
Bei den Eckzähnen gibt es einen anderen Grund für mangelhafte Reinigung:
Sie halten vermutlich Ihre Zahnbürste mit der rechten Hand. Fangen bei den Schneidzähnen in der Mitte an, mit der Verteilung der Zahnpasta. Dann kommt die linke Seite dran. Und danach passierts: Sie drehen die Zahnbürste, immer noch in der rechten Hand, zu ihrer rechten Zahnseite hin um und reinigen diese. Was wird nicht gereinigt: Der Drehpunkt! Und das ist genau der Eckzahn.
Also:
Einfach mal drauf achten, und den rechten unteren Eckzahn (nochmals) getrennt reinigen.
Bei den unteren Schneidezähnen hilft ein waagerechtes Hin- und Herschrubben an den Zahnkanten wenig. Deshalb bleiben gerade hier am Übergang zum Zahnfleisch oft Beläge liegen. Unnötig! Schauen Sie in den Spiegel, dann wird Ihnen alles klar.
Und so sehen die Zähne eines Patienten nach seinem üblichen „Zähneputzen“ aus, nachdem die noch verbliebenen Zahnbeläge angefärbt wurden. Von wegen sauber…
Besonders deutlich: Schmutzige Zahnfleischrinnen um die Zähne herum. Müssen schonend mit einer weichen Zahnbürste gereinigt werden; harte Zahnbürsten würden auf die Dauer die Zahnhälse freischrubben.
Wir Zahnärzte sehen dieses Bild immer wieder: Wo die Zahnbürste leicht rankommt, glänzen die Zähne. In den Nischen und Rillen dagegen können sich die Bakterien weiter austoben.


