„Was halten Sie von einer elektrischen Zahnbürste?“ Das ist immer die erste Frage, wenn das Gespräch auf Zahnbürsten kommt.
Jetzt gibt es die berühmte schnoddrige Antwort:
„Die beste Zahnbürste ist die, die man benutzt.“
Klingt hochnäsig, ist jedoch wahr:
Es kommt auf den ersten Blick wirklich nicht so sehr auf die Art der Zahnbürste an.
Auf den zweiten Blick lassen sich schon Unterschiede erkennen.
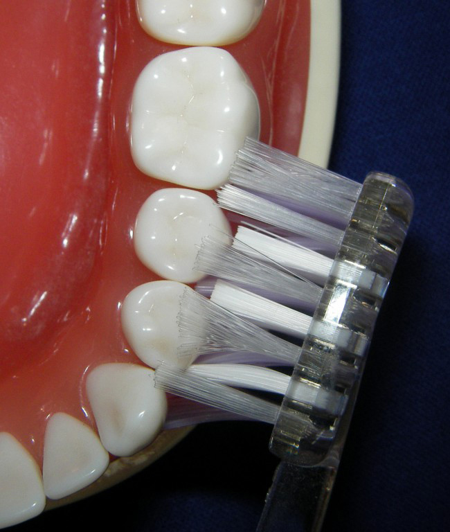
Ich habe für Sie mal zwei verschiedene Handzahnbürsten an eine Modellzahnreihe gehalten und fotografiert:
Ungünstige Borstenanordnung |
Gute Borstenanordnung |
Oft empfohlene weiche Borsten |
Sehen Sie auch, dass nur die eine Zahnbürste die Zahnzwischenräume erreicht?
Die ist klar besser als die andere mit dem ebenen Borstenfeld. Und harte Borsten kommen auch nicht zwischen die Zähne. Also ist eine weiche(re) Zahnbürste deutlich geeigneter.
Martialisch aussehende dicke harte Borsten in aggressiven Farben und Formen sind nicht unbedingt das Gesündeste. Schonende Reinigung ist angesagt.
![]() |
![]() |
![]() |
Damit nicht nur die Zahnoberflächen, sondern auch die Zahnzwischenräume sauber werden (genau da sammeln sich Speisereste), bürsten Sie die Spalten am besten vom Zahnfleisch her aus. Genau wie bei einem Kamm, bei dem Sie die eingefangenen Haare auch nicht von rechts nach links, sondern von oben nach unten entfernen. Einfache Merkregel:
Von Rot nach Weiß bürsten (ausstreichen), also vom Zahnfleisch zum Zahn hin. Und wenn Sie vor dem Ausstreichen noch rütteln, dann sind Sie Weltmeister beim Wettbewerb „Saubere gesunde Zähne“!
„Soll ich mir eine elektrische Zahnbürste kaufen?“
Warum nicht?
Wenn Sie ein Modell mit Anpresskontrolle und Timer wählen, dann erhalten Sie eine Menge Vorteile:
- Falls Sie die Bürste zu stark auf Ihre Zähne drücken, leuchtet ein rotes Warnlicht auf;
- alle 30 Sekunden macht es „Blipp“, damit Sie die Reinigungsstelle wechseln, und
- nach 2 Minuten stellt sich die Bürste ab. Ideal.
- Vorteile sehe ich auch bei den letzten Backenzähnen: Da kann man schlecht mit der normalen Handzahnbürste hin- und herreiben, da ist eine selbstvibrierende Bürste von Vorteil.
Also exakt die Ziele, die Sie anstreben sollten. Super! Solche Modelle gibt es auch relativ preisgünstig.
Elektrische Zahnbürsten sind allerdings keine Bedingung für saubere Zähne. Wenn Sie eine normale Handzahnbürste korrekt benutzen, bleiben auch damit Ihre Zähne gesund.
Mit einer Handzahnbürste sollten Sie Ihren Mund etwas zumachen, wenn Sie die Bürste bereits drin haben. Dadurch können Sie die Bürste auch abgewinkelt um die letzten hinteren Zähne herumführen.
Die beste Zahnbürste ist die, die Sie bei Bedarf immer zur Hand haben! In Drogeriemärkten finden Sie Behälter zum Transport von Zahnbürsten sowie stabile zusammenklappbare Reisebürsten.
Letztlich kommen Sie nicht um mehrere Zahnbürsten herum:
Zu Hause, bei der Arbeit, unterwegs.
Klingt völlig daneben, ich weiss. Und trotzdem mache ich das so. Und meine Zähne bleiben sauber und gesund. Das können Sie auch!
Automat neben dem Restaurant eines großen schwedischen Möbelhauses in Berlin.






